The Art of Camouflaging Cant
- Feb 12
- 2 min read
Updated: Feb 14
I’m really excited to share this case with you because it highlights how we approach complex maxillary cant cases to make them predictable and beautiful.
One of the biggest lessons here is that sometimes it’s not about perfectly leveling the cant—it’s about camouflaging it and creating a natural, balanced smile.
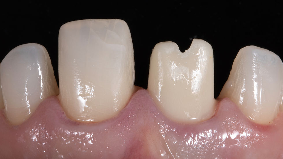
This case involved a patient presenting with a significant maxillary cant, in addition to previous veneers and mild crowding. The occlusal plane was uneven, creating asymmetry between the left and right sides of the maxilla. The patient underwent Invisalign to optimize tooth positioning before restorative work.
The treatment plan combined digital photography, 3D scanning, and detailed lab communication to guide temporaries and final ceramic restorations. Temporaries were used to evaluate pink and white esthetics, tissue adaptation, and functional harmony. Adjustments were made to line angles, reflective-deflective zones, and gingival scallops to camouflage the cant and create a visually symmetrical smile.
The final result achieved natural esthetics, balanced gingival architecture, and proper functional occlusion, demonstrating the importance of thorough planning, teamwork with the lab, and digital integration in managing complex cases like maxillary cants.
A big thank you to our friends at CMR for joining us on this session—we’re thrilled to share these strategies and insights so you can take your own restorative cases to the next level.
Key points included:
See how a few strategic photos, notes, and lab slips can completely transform communication and case predictability.
Learn how aligning photos with 3D scans can capture the cant and vertical midline for flawless lab guidance.
See how provisionals reveal function, esthetics, and tissue response before the final ceramic work.
Lab Communication That Works: See why annotated photos and benchmarks can make or break the success of complex cases.
Discover how 2D and 3D alignment ensures the cant and occlusal plane are translated perfectly to the final restoration.
Creating Visual Symmetry: Learn how subtle adjustments to line angles and tooth proportions can make a crooked smile look naturally balanced.
Shade and Material: See how choosing the right veneers, porcelain, and thicknesses creates results that blend seamlessly with natural teeth.
To watch the step-by-step case breakdown, join the Case Continuum for access not only to this case recording but also to the full library of 60-minute case sessions.

Are you a member? Log in to your account to watch this discussion.
Having strong photography skills is the foundation for predictable, high-quality restorative dentistry, especially in complex cases like maxillary cants.
In my on-demand photography course, I teach how to capture every critical angle—full-face, lateral, and intraoral—so that your photos become more than pictures; they become communication tools. These images guide the lab, help you plan temporaries, and allow you to evaluate aesthetics, function, and tissue response before you even start the final restorations.
Without a solid photography foundation, dentists often send labs raw or incomplete photos, which leaves technicians guessing about tooth position, cant or occlusal plane.
The photography course modules show you how to align 2D and 3D records, annotate key details, and create a visual roadmap, so every case—from planning through provisionals to final ceramics—is predictable and reproducible. Essentially, photography becomes the backbone of your treatment planning and lab communication, reducing errors, improving efficiency and ultimately delivering results that patients love.




